Ağız İçi Apse Belirtileri ve Tedavisi
Ağız içi apse, genellikle enfeksiyon sonucu oluşan, içinde pus biriken bir boşluktur. Bu durum, ağız sağlığı açısından önemli bir sorundur ve tedavi edilmediğinde ciddi komplikasyonlara yol açabilir. Belirtileri, nedenleri ve tedavi yöntemleri hakkında bilgi verilmektedir.
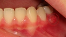
Ağız içi apse, diş eti veya ağızda bulunan diğer dokularda oluşan, genellikle enfeksiyon sonucu meydana gelen ve içinde pus biriken bir boşluktur. Bu durum, ağız sağlığı açısından önemli bir sorun teşkil eder ve tedavi edilmediği takdirde ciddi komplikasyonlara yol açabilir. Bu makalede, ağız içi apsenin belirtileri, nedenleri ve tedavi yöntemleri üzerinde durulacaktır. Ağız İçi Apse NedenleriAğız içi apselerin oluşumuna neden olan faktörler şunlardır:
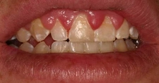
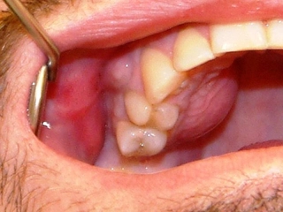
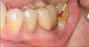
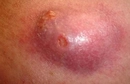
Bu nedenler sonucunda ağızda bakteriyel enfeksiyonlar meydana gelir ve bu enfeksiyonlar zamanla apse oluşumuna yol açar. Ağız İçi Apse BelirtileriAğız içi apsenin belirtileri genellikle aşağıdaki gibidir:
Bu belirtiler, hastalığın ciddiyetine göre değişiklik gösterebilir. Belirtiler ortaya çıktığında, mutlaka bir diş hekimine veya sağlık profesyoneline başvurulmalıdır. Ağız İçi Apse TanısıAğız içi apsenin tanısı genellikle klinik muayene ile konur. Diş hekimi, hastanın belirtilerini değerlendirir ve ağızda herhangi bir şişlik, kızarıklık veya akıntı olup olmadığını kontrol eder. Gerekirse, ek testler ve görüntüleme yöntemleri (örneğin, röntgen) kullanılabilir. Bu testler, enfeksiyonun yayılma derecesini ve tedavi planını belirlemek için önemlidir. Ağız İçi Apse TedavisiAğız içi apsenin tedavisi, enfeksiyonun ciddiyetine ve hastanın genel sağlık durumuna bağlı olarak değişiklik gösterebilir. Genel tedavi yöntemleri şunlardır:
Tedavi sürecinin ardından, hastaların ağız hijyenine dikkat etmeleri ve düzenli diş kontrollerine gitmeleri önerilir. SonuçAğız içi apse, ciddiye alınması gereken bir sağlık sorunudur. Belirtilerinin fark edilmesi durumunda zamanında müdahale edilmesi, komplikasyonların önlenmesi açısından büyük önem taşır. Ağız sağlığını korumak için düzenli diş hekimine gitmek ve ağız hijyenine dikkat etmek gerekmektedir. Sağlıklı bir ağız, genel sağlık için de kritik bir öneme sahiptir. Ekstra Bilgiler:
|















































Ağzımda apse oluştuğunda gerçekten çok zor bir dönem geçirmiştim. Şiddetli ağrılar, yemek yerken hissettiğim acı ve ağız kokusu beni çok rahatsız etmişti. Dişlerimi fırçalamak bile işkence haline gelmişti. Özellikle sıcak ve soğuk yiyecekleri tüketirken çektiğim acıyı unutamam. Apsem nedeniyle doktora gitmek zorunda kaldım ve tedavi süreci beni oldukça yıprattı. Belirtiler arasında yer alan iltihaplanma ve şişlik durumları beni çok endişelendirmişti. Gerçekten ağız içi apsesi tedavi edilmesi gereken bir durum, tedavi edilmediği takdirde vücuda yayılabileceğini öğrendiğimde daha da korkmuştum. Bu durumu önlemek için ağız ve diş temizliğine daha fazla dikkat etmeye başladım ve düzenli olarak kontrole gitmeye karar verdim. Başka ne tür önlemler alabileceğimi merak ediyorum. Siz bu konuda neler önerirsiniz?
Geçmiş Olsun Timuröz, yaşadığınız apse durumu gerçekten de oldukça zorlu bir süreç olmuş. Ağız içi apseleri, sadece fiziksel acı yaratmakla kalmaz, aynı zamanda psikolojik olarak da etkileyebilir.
Temizlik ve Bakım Ağız ve diş sağlığına yönelik düzenli bir temizlik alışkanlığı geliştirmek, bu tip sorunların önlenmesinde oldukça önemli. Dişlerinizi günde en az iki kez fırçalamak, diş ipi kullanmak ve ağız gargarası ile ağız hijyeninizi desteklemek faydalı olacaktır.
Dengeli Beslenme Beslenmenize dikkat etmek de önemli bir diğer nokta. Ağız sağlığını destekleyen vitamin ve mineraller içeren besinler tüketmek, bağışıklık sisteminizi güçlendirebilir. Özellikle C vitamini açısından zengin gıdalar, diş etlerinizi güçlendirebilir.
Düzenli Kontroller Diş hekiminizle düzenli kontroller yapmanız, ağız sağlığınızın takibi açısından son derece önemlidir. Her altı ayda bir diş hekimi ziyareti, potansiyel sorunları erkenden tespit etmenize yardımcı olabilir.
Stresten Kaçınma Ayrıca, stresin ağız sağlığı üzerindeki olumsuz etkilerini göz ardı etmemek gerekir. Stres yönetimi için çeşitli yöntemler denemek, genel sağlığınıza olumlu katkılar sağlayabilir.
Daha fazla bilgi veya öneri isterseniz, diş hekiminizle görüşmeniz en doğrusu olacaktır. Kendinize iyi bakın!